Home Blog Page 316

5796

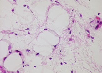
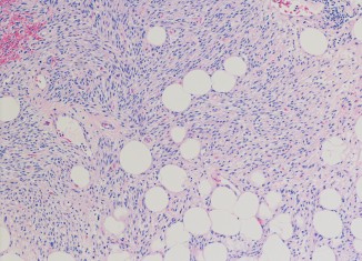
Lipomas are generally harmless deposits of fat under the skin and Lipomas are mostly seen around the neck, shoulders, back, abdomen, arms and thighs,...

3562

Bacterial vaginosis affecting woman’s vagina is not medically dangerous, but can cause disturbing symptoms. Bacterial vaginosis (BV) is also known as vaginal bacteriosis...

2342

Individuals who takes more than eight hours of sleep a day, as indicated by the study, is prone to the danger of stroke. The scientist...

2801

Photo: Flickr Getting a taller body frame is everybody’s dream. But it is not so easy to get as we think. As getting taller is...

2085

Anxiety has been regarded as a catalyst for dementia. Andrew Petkus, Ph.D. said, “Anxiety, especially in older adults, has been relatively understudied compared to depression,”...

3476

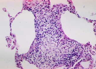
Sarcoidosis is a condition where small patches of inflamed cells show up in the body. The disease can affect parts of our body, including...

2843

A coffee a day leads to a healthy gums. Lead creator and 2014 DMD graduate Nathan Ng said, "We found that coffee utilization did not...

2209

What happens in case of a medical emergency? What happens when you’re home alone and need help? You’ve probably come across advertisements on TV...

2869

Before we go into the details of products that can be used for curing Lipoma, we should first know what the Lipoma is. Lipomas...

2183

Red wine has promising benefits that’s worth knowing. M. Victoria Moreno-Arribas and partners clarify that dental maladies are very common throughout the world. Cavities, periodontalic...

mahjong ways viral karena momen menang pemain cara cerdas menang mahjong wins fortune ox bagi bagi scatter
slot online judi bola online judi bola https://widgets-tm.wolterskluwer.com Slot luar negeri no 1 Indonesia adalah slot thailand dengan banyak pilihan provider slot online uang asli, sekali daftar dijamin langsung bisa mainkan semua jenis taruhan online 24 jam. slot thailand jbo680 jbo680 situs slot terpercaya slot pragmatic play online surya168 slot jepang slot online slot gacor catur777 https://slotgacormax.win/ https://wwwl24.mitsubishielectric.co.jp/
slot gacor hari ini
ssh premium
slot
slot thailand
slot gacor
strategi bermain mahjong ways dan pola kemenangan gates of olympus masih jadi favorit banjir scatter hitam bahjong ways
Slot

Warning: mysqli::__construct(): php_network_getaddresses: getaddrinfo failed: Name or service not known in /www/wwwroot/conde-dev.us/backlink.php on line 13

Warning: mysqli::__construct(): (HY000/2002): php_network_getaddresses: getaddrinfo failed: Name or service not known in /www/wwwroot/conde-dev.us/backlink.php on line 13
Connection failed: php_network_getaddresses: getaddrinfo failed: Name or service not known